Nyhetsarkiv
På den här sidan kan du söka fram äldre nyheter. Välj ämne, typ av nyhet eller skriv in ett eget sökord för att filtrera fram nyheter.
Visa kompakt

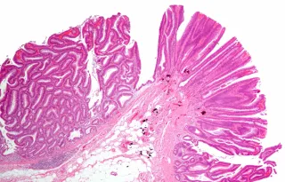
Personer som har inflammatorisk tarmsjukdom (IBD), till exempel Crohns sjukdom eller ulcerös kolit, kan få cellförändringar i tarmen som kallas dysplasi. Dysplasi är ett förstadium till cancer, och ju allvarligare dysplasin är, desto större är risken att utveckla tjocktarmscancer. Det visar en studie av forskare vid Karolinska Institutet, och NYU Grossman School of Medicine, New York, som publiceras i Clinical Gastroenterology and Hepatology.
Nyheter

Tysta applåder, så kallade ”jazz hands”, sprids snabbt som ett sätt att göra evenemang mer inkluderande för exempelvis autistiska personer. En studie från Karolinska Institutet visar att personer både med och utan diagnos i stort är positiva till åtgärden, även om åsikterna varierar. Studien undersökte även språkpreferenser, och många deltagare uppgav att det inte spelade någon större roll om man sa ”autistisk person” eller ”person med autism”.
Nyheter

Nu öppnar nomineringen till uppdragen som lärarledamöter i fakultetsnämnden och kommittéerna för utbildning på grundnivå och avancerad nivå; utbildning på forskarnivå och forskning. Genom att nominera en kollega bidrar du till ett starkt representativt och engagerat akademiskt ledarskap för KI:s utbildning och forskning.
Nyheter
Målgrupp: Medarbetare

Genom en kombination av strategisk rekrytering och en intern nomineringsprocess hoppas KI nu kunna nominera särskilt lovande yngre forskare till Vetenskapsrådets nya utlysning. Jesper Lagergren, ordförande i KI:s rekryteringsnämnd, ser satsningen som både rätt tänkt och lovande.
Nyheter

När KI satsade stort på rekrytering av biträdande lektorer fick lärosätet ett genomslag långt utanför Sveriges gränser. Resultaten kommer att prägla KI i decennier framåt, sammanfattar professor Sten Linnarsson, en av initiativtagarna till den internationella rekryteringen med fokus på excellens.
Nyheter

I en ny studie från Karolinska Institutet, publicerad i Nature Neuroscience, har forskare identifierat en neurogen progenitorcell som ger upphov till dopaminerga nervceller, de nervceller som främst drabbas vid Parkinsons sjukdom. Dessa fynd kan bidra till att förbättra hur dopaminerga nervceller framställs för transplantation vid Parkinsons sjukdom.
Nyheter

Det vanligaste sättet att behandla cancer med strålning är med fotonstrålar, som är ljusliknande strålar. Tekniken har utvecklats så att strålningen kan riktas mycket noggrant mot tumören. Det är skyddar frisk vävnad, men kräver extrem precision. Små fel i mätningar, maskiner eller datorprogram kan leda till att patienten får lite för hög eller för låg dos strålning. Den här avhandlingen undersöker flera områden där sådana fel kan uppstå.
Nyheter

Vissa tarmbakterier hos spädbarn kan minska risken att utveckla allergi senare i barndomen. Det visar ny forskning från ALADDIN-studien från Karolinska Institutet som publicerats i Nature Microbiology.
Nyheter
Här sammanfattar Karolinska Institutets presstjänst KI:s synlighet i svenska och internationella medier.
Nyheter
Målgrupp: Medarbetare

Välkommen att skicka in ditt abstract till Karolinska Institutets utbildningskongress 2026. Kongressen äger rum i Stockholm den 7–8 oktober.
Nyheter

Immunterapi som ges före eller efter operation används allt oftare inom flera cancerområden. I en artikel i Journal of Internal Medicine presenterar forskare vid Karolinska Institutet en samlad genomgång av studier inom sju tumörområden och visar hur fältet utvecklas mot allt tidigare behandling.
Nyheter

Den 1 februari tillträdde Christofer Juhlin en kombinerad professorstjänst i tumörpatologi vid institutionen för onkologi-patologi. Parallellt arbetar han som överläkare i klinisk patologi vid Karolinska universitetssjukhuset. Vi har ställt några frågor om hans nya roll och pågående forskning.
Nyheter

Hanna Sandelowsky medverkar i senaste avsnittet av KI-podden Medicinvetarna #191. Hör henne berätta mer om astma och KOL.
Nyheter
Målgrupp: Medarbetare
H1 Neurobiologi, vårdvetenskap och samhälle

En ny svensk studie, nyligen publicerad i Neurology, visar att personer som drabbats av en traumatisk hjärnskada i högre grad riskerar perioder av sjukfrånvaro som kan pågå i upp till fem år efter skadetillfället.
Nyheter

Neurokirurgen och forskaren Elham Rostami är tillbaka på FyFa, där hon en gång inledde sin bana. Nu kombinerar hon sin forskning inom traumatiska hjärnskador med sin kliniska verksamhet och med rollen som föreståndare för FyFas nya HumanLab.
Nyheter
Målgrupp: Medarbetare
C3 Fysiologi och farmakologi

En nyligen publicerad studie från Karolinska Institutet visar att dödligheten bland personer som injicerar droger och är inskrivna vid sprututbytesprogrammet i Stockholm har minskat under en tioårsperiod, och att dödsfall i opioidöverdos har sjunkit kraftigt. Studien är publicerad i Harm Reduction Journal och resultaten sammanfaller med en period då skadereducerande insatser byggts ut och bland annat naloxonprogram har implementerats.
Nyheter

Välkommen att ta del av 2026 års verksamhetsplan för KI:s gemensamma verksamhetsstöd (GVS). Fokus ligger både på gemensamma prioriteringar och på avdelningarnas egna uppdrag och utvecklingsområden för att möta kärnverksamhetens behov.
Nyheter
Målgrupp: Medarbetare

I januari 2026 utsåg Karolinska Institutets rektor Lars Holmgren till ny integrationsdirektör för SciLifeLab vid KI. I denna roll kommer Lars Holmgren att vara ordförande för SciLifeLab-kommittén vid KI.
Nyheter
Målgrupp: Medarbetare

Forskare vid Karolinska Institutet har identifierat ett cirkulärt RNA i mitokondrier som spelar en viktig roll för läkning av kroniska sår. Studien har publicerats i Advanced Science.
Nyheter

Nya forskningsresultat från Karolinska Institutet visar hur genen HNRNPU samordnar flera grundläggande molekylära processer under de allra tidigaste stegen av människans hjärnutveckling. Studien är publicerad i Nucleic Acids Research och bidrar till att förklara varför barn med genetiska mutationer i HNRNPU ofta utvecklar tillstånd som intellektuell funktionsnedsättning, autism och epilepsi.
Nyheter

Personer med nedsatt njurfunktion kan ha högre nivåer av flera blodmarkörer som ofta används i forskning om Alzheimers sjukdom och andra relaterade demenssjukdomar. Detta visas i en ny systematisk översikt och metaanalys som publicerats i The Journal of the American Society of Nephrology.
Nyheter

En långtidsstudie som följt personer med ärftlig eller genetisk risk för bukspottkörtelcancer har tilldelats Young Investigator Award av European Journal of Radiology. Studien visar att magnetkameraundersökning (MRT) ofta identifierar strukturella förändringar hos dessa individer, men att metodens förmåga att upptäcka tumörer i tidigt skede är begränsad.
Nyheter

En avhandling vid Karolinska Institutet undersöker hur en social robot, driven av artificiell intelligens, kan användas som virtuell patient för att förbättra träningen i kliniskt resonemang och kommunikation hos läkarstudenter.
Nyheter
Hallå där Alexander Kvist, doktorand vid avdelningen för fysioterapi. Den 6 mars försvarar du din avhandling ”Evaluating complex walking in aging and neurological disease : from motor behavior to brain activity”. Vad handlar den om?
Nyheter

Den 16 april är det dags för KI:s Hållbarhetsdag. Årets tema utforskar hur det vi äter kopplar samman hållbar utveckling med vår hälsa. Medarbetare och studenter bjuds in till en dag på campus Flemingsberg med inspirerande föreläsningar, gruppdiskussioner och flera prisutdelningar.
Nyheter
Målgrupp: Medarbetare

Anna Sandström är docent och forskare i forskargruppen Reproduktions-, perinatal och pediatrisk epidemiologi vid Institutionen för medicin i Solna på Karolinska institutet, samt arbetar som obstetriker på Karolinska universitetssjukhuset, Solna. Det övergripande målet med gruppens forskning är att öka kunskapen och arbeta för evidensbaserad vård av kvinnor och deras barn under graviditet, förlossning och nyföddhetstiden.
Nyheter
Målgrupp: Medarbetare
K2.Avdelningen för Clinicum
Välkommen till Charilaos Chourpiliadis' presentation av avhandlingen ”A novel evaluation of potential risk and prognostic factors for amyotrophic lateral sclerosis”.
Nyheter

Alexandra Kambler och Ingrid Öberg har sedan maj 2025 arbetat som student- och doktorandombud på Medicinska Föreningen. Deras uppdrag är att göra det lättare för KI-studenter att få stöd i tid, förebygga problem och bidra till tryggare och tydligare processer genom hela studietiden.
Nyheter

Katarina Berinder vid forskargruppen Experimentell och klinisk neuroendokrinologi, institutionen för molekylär medicin och kirurgi, blev docent i endokrinologi och diabetes den 27 januari 2026.
Katarinas forskning är i första hand inriktad på hypofyssjukdomar, med särskilt fokus på hyperprolaktinemi. Hon bedriver kliniska och epidemiologiska studier inom hypofysområdet samt andra endokrina sjukdomar, inklusive binjuresjukdomar.
Katarinas forskning är i första hand inriktad på hypofyssjukdomar, med särskilt fokus på hyperprolaktinemi. Hon bedriver kliniska och epidemiologiska studier inom hypofysområdet samt andra endokrina sjukdomar, inklusive binjuresjukdomar.
Nyheter

Den 30 mars–17 april genomförs en ny omgång av medarbetarundersökningen för att få en aktuell bild av hur vi har det på jobbet. Undersökningen är en viktig del i KI:s systematiska arbetsmiljöarbete och ett sätt att följa upp arbetsmiljö, trivsel och ledarskap. Den är också ett centralt verktyg i den gemensamma dialog som driver KI:s fortsatta utveckling – som vi gör tillsammans!
Nyheter
Målgrupp: Medarbetare

Här kommer information om automatiskt dragna månadsbiljetter, ändrade garagekoder i Flemingsberg och böter/kontrollavgifter i januari.
Nyheter
Målgrupp: Medarbetare
H1 Neurobiologi, vårdvetenskap och samhälle

En storskalig multi-omikstudie från Karolinska Institutet, publicerad i Genome Medicine, ger ny inblick i de molekylära mekanismer som ligger bakom instabil ateroskleros, en av de viktigaste orsakerna till ischemisk stroke och hjärtinfarkt.
Nyheter

Anna Stoltenberg är statistiker på Institutionen för medicin, Solna och rådgivare i Clinicums nätverk.
Nyheter
Målgrupp: Medarbetare
K2.Avdelningen för Clinicum

Kristiina Tammimies, lektor och docent i medicinsk genetik vid Karolinska Institutet, har utsetts till vice ordförande i styrgruppen för det strategiska forskningsområdet Neurovetenskap (StratNeuro). Beslutet fattades av kommittén för forskning i samband med den nya mandatperioden som startade i januari 2026.
Nyheter

För andra gången har Karolinska Institutet (KI) och University of Toronto (U of T) utsett två Mats Sundin Fellows inom mänsklig utvecklingsbiologisk hälsa. Det två-åriga utbytesprogrammet erbjuder lovande yngre forskare möjligheten att utvecklas och testa vingarna i andra forskningsmiljöer. Bakom initiativet finns hockeylegenden Mats Sundin som genom sitt engagemang lägger grunden för framtidens ledande forskare.
Nyheter
Den 2 februari började Per Anders Nilsson Strandberg som enhetschef för fakultetskansli utbildning. Han kommer närmast från Mälardalens universitet där han varit chef för avdelningen ledningsstöd och biträdande universitetsdirektör.
Nyheter
Målgrupp: Medarbetare

När AI-tjänsten Sundi nu lanseras i Sverige får användarna individanpassat stöd för att nå sina personliga hälsomål. Råden bygger på den senaste forskningen som uppdateras och granskas av läkare och forskare. Sundi är ett ideellt initiativ från Bosch Health Campus (BHC) i Stuttgart och Charité – Universitätsmedizin i Berlin i samarbete med forskare från Karolinska Institutet som granskar forskningsinnehållet.
Nyheter

Under 2026–2027 kommer Universitetskanslersämbetet (UKÄ) att granska KI:s kvalitetssäkringsprocesser inom utbildning och forskning. Nu inleds arbetet med att genomföra den självvärdering som ska ligga till grund för granskningen.
Nyheter

För att få genomföra ett prov måste du kunna legitimera dig. Nu är även e-tjänstekort, tjänstekort och nationellt id-kort (land inom EU, EES och Schengen) giltiga id-handlingar.
Nyheter

NeurotechEU, Europauniversitetsalliansen som KI är del av, lanserar nu en nätbaserad utbildning om mångfald, jämlikhet och inkludering (DEI). Utbildningen riktar sig till studenter, lärare och stödpersonal och ska hjälpa dem att medvetet skapa mer inkluderande lärmiljöer inom högre utbildning.
Nyheter
Målgrupp: Medarbetare
Licenskostnaden för Microsoft 365 Copilot, som ger dig tillgång till samtliga AI-funktioner utvecklade för M365, har nu sänkts. Det nya priset är 175 kronor per månad och användare.
Nyheter
Målgrupp: Medarbetare
Vi önskar gratulera Henrik Nilsson som har antagits till docent i kirurgi på KIDS. Stort Grattis önskar alla kollegor på KI DS!
Nyheter
Målgrupp: Medarbetare
D1 Kliniska vetenskaper, Danderyds sjukhus
Den 19 februari är det på nytt dags för en introduktion till diarieföring och arkivering.
Nyheter
Målgrupp: Medarbetare

Ett gäng nya studentkullar påbörjade sina utbildningar hos oss i januari.
Nyheter
Målgrupp: Medarbetare
H1 Neurobiologi, vårdvetenskap och samhälle

Våra program firade med examen i januari i sedvanlig ordning: Ballonger, bubbel och tårta.
Nyheter
Målgrupp: Medarbetare
H1 Neurobiologi, vårdvetenskap och samhälle

Konferensen ”Women of NeurotechEU: Empower, Lead, Innovate” är ett internationellt evenemang som organiseras av ”Iuliu Hațieganu” University of Medicine and Pharmacy i Cluj-Napoca, inom ramen för den europeiska universitetsalliansen NeurotechEU, i samband med internationella kvinnodagen.
Nyheter

KI utvecklar just nu en framtida kulturverksamhet. Vi söker idéer för att skapa aktiviteter som känns relevanta, tillgängliga och meningsfulla för dig som arbetar eller studerar på KI.
Nyheter
Målgrupp: Medarbetare

Lina Davies är docent och överläkare och specialiserad i internmedicin och infektionssjukdomar på institutionen för medicin i Solna vid Karolinska Institutet.
Nyheter
Målgrupp: Medarbetare
K2.Avdelningen för Clinicum

Här kan du se pdf:en från Bodil Lunds ledningsinfo den 5 februari 2026
Nyheter
Målgrupp: Medarbetare
OV Universitetstandvården, OF Odontologi
Årets första personalmöte med gemensamt verksamhetsstöd (GVS), där universitetsbiblioteket KIB nu ingår, ägde rum i Aula Medica. På programmet stod aktuella frågor inom KI, en lägesbild från GVS ledningsgrupp och fördjupning i en del av KI:s kärnverksamhet med Knut Steffensen, föreståndare för Karolinska ATMP-centrum.
Nyheter
Målgrupp: Medarbetare
GVS Gemensamt verksamhetsstöd, CB Karolinska Institutet Universitetsbiblioteket, TL Undervisning och lärande
